Stephamie´s Krankheitsverlauf
Begonnen hat es bei mir gefühlt am Ostersonntag 2016 (27.3.). Beim Schreiben per Hand tat plötzlich das rechte Handgelenk weh (ich bin Rechtshänderin). Im Nachhinein betrachtet hatte ich evtl. in den Wochen zuvor eine leichte Kraftminderung, mehr nicht. Im Laufe der Woche wurde es immer mehr, am Donnerstag bin ich zu meiner Hausärztin, die mir eine Bandage zum Ruhigstellen verschrieb. Ich dachte an eine Überlastung. Eine au-Bescheinigung bräuchte ich nicht, sagte ich ihr. Ich habe zunächst (ohne Erfolg) Quarkwickel, Retterspitzumschläge, Kytta-Salbe und Voltaren Gel probiert. Nach noch gut einer Woche weiterarbeiten und zunehmenden Schmerzen habe ich mich dann vorerst für ein Wochenende krankschreiben lassen, da ich ansonsten Bereitschaftsdienst gehabt hätte (ich bin Hautärztin in einer Rehaklinik, im Notfall muss ich reanimieren können), was ich meiner Hand nicht zutraute. Von Hausmitteln und Schmerzcremes bin ich dann übergegangen zu Diclofenac Tabletten. Da 50mg nichts halfen, ließ ich mir stärkere verschreiben und nahm 1-2 x tgl. 75 mg über 10 Tage. Ohne Erfolg. Ab Mitte April ließ ich mich durchgängig krankschreiben (das sollte gut 19 Monate andauern...).
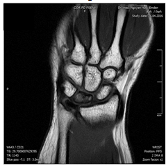
Da fiel mir mein Cousin ein, der praktischerweise Handchirurg ist und ich fragte ihn am Telefon, was ich tun solle. Er riet zu einem Röntgenbild und MRT mit Kontrastmittel, wenn 10 Tage entzündungshemmende Schmerzmittel nichts helfen, stimme was nicht! Scheinbar mein Glück, wenn ich höre, wie lange andere bis zur sinnvollen Diagnostik brauchten. Das MRT wurde am 24.4.2016 durchgeführt. Der Radiologe holte mich an seinen Schreibtisch, zeigte mir die Bilder (alle anderen Knochen weiß und einer schwarz bzw. andersrum) und nannte mir die Diagnose Lunatummalazie.
Das habe ich auf dem Rückweg nach Hause erstmal gegoogelt. Und wieder meinen Cousin angerufen, der sagte, damit sei ich sicherlich 2-3 Monate au. Ich solle ihm die Bilder schicken und er würde sich nach dem aktuellen Stand der Forschung erkundigen. Zufälligerweise wollte er mich einige Tage später sowieso besuchen, da haben wir dann weiteres besprochen: eine Radiusverkürzung sei sinnvoll. Er sagte, die einzige Klinik, wo er sich an so etwas operieren lassen würde, sei Bad Neustadt an der Saale.
Dort bekam ich für meinen Geburtstag am 24. Mai einen vorstationären Termin. Bis dahin war es soweit, dass ich kaum noch meine Unterschrift zustande brachte bei Kartenzahlung o.ä., so weh tat die Hand. Auch die Kraft war deutlich geringer geworden. Schmerzbedingt wurde auch die Beweglichkeit etwas schlechter, aber nicht viel. Wirklich geschwollen war meine Hand nie.
Bei dem Termin in Bad Neustadt betreute mich eine sehr freundliche und fachlich kompetente Assistenzärztin. Sie holte bald schon den Oberarzt Dr. Kalb hinzu, der noch ein CT machen ließ (Diagnose war daraufhin Stadium 3a mit drohendem karpalen Kollaps), einen Plan entwickelte und auch selbst operieren wollte: Er riet zu einer Arthroskopie mit Denervation nach Wilhelm, einer Radiusverkürzungsosteotomie und einer temporären STT-Transfixation. Würde das nicht reichen, könnte man eine STT-Teilversteifung machen, danach sei die nächste Option ein Knorpel-Knochen-Transplantat aus dem Knie (hätten sie schon 8x gemacht, 7x mit Erfolg...). Das wollte ich dann gar nicht mehr so genau hören.
OP war am 16.6.2016 in Bad Neustadt an der Saale, in Plexusanästhesie (von denen jederzeit wieder!), 5 Tage stationär. Hab in der ersten Nacht nach OP geheult vor Schmerz, aber meine Bettnachbarin hat mich getröstet. Die Schmerzmittel haben nur bedingt geholfen, aber meinem Kreislauf nicht gut getan... 6 Wochen Gips. Ziemliche Schmerzen weiterhin. Selbst die Erschütterung beim Gehen tat weh. Kühlen tat gut, Medikamente haben entweder nicht gewirkt oder mich umgehauen. (Nach Monaten fand ich das erste Schmerzmittel, was mir wirklich half: Arcoxia)
MRT-Kontrollen nach 7,5 Wochen und 3 Monate post OP im MVZ Bad Neustadt: Keine Besserung, aber auch kein Fortschreiten. Die Ärztin sagte mir bei der zweiten Kontrolle, die 2 Drähte (von der temporären STT-Transfixation) sollten noch bleiben, dann schickte sie einen abgeänderten Brief nach Rücksprache mit Dr. Kalb, dass sie doch schon raus könnten. Da war ich erstmal verwirrt und hab mal wieder meinen Cousin um Rat gefragt. Er hat sich noch mit einem Kollegen besprochen und wir entschieden, die Drähte vorerst zu belassen und zu hoffen, dass sich das Mondbein doch noch erholt. Das passierte leider nicht. Nach genau 6 Monaten (16.12.2016) wurden die beiden Drähte ambulant von meinem Cousin entfernt und noch einmal denerviert. Der Arm wurde nur über die Vene betäubt, das hat gut funktioniert, ich hatte nur wie bei mir scheinbar üblich "Kreislauf".
Eine MRT-Kontrolle im Februar 2017 zeigte eine Progredienz, beginnende Fragmentation und Formveränderung des Lunatum, eine neue skapholunäre Dissoziation und zunehmende Gelenkspaltverschmälerung radiokarpal. Ich hatte auch immer noch Schmerzen (genau an gleicher Stelle wie vor der OP aber nicht ganz so schlimm) und die Beweglichkeit war immer noch schlechter als vor der 1. OP.
Am 21.3.2017 also 3. OP (wieder bei meinem Cousin, der zwar selten bis kaum LM behandelt, aber solche kleinen Eingriffe durchaus macht): Arthroskopie mit Synoviektomie, Diskusglättung, Kapselglättung, Spülung sowie Denervation jetzt von radialen Nerven. Geplant war eigentlich wieder eine Plexusanästhesie, aber die wirkte noch nicht, als man schneiden wollte, was nicht wirklich schön war, also wurde dann eine Vollnarkose nachgelegt. Danach 2 Wochen Gips. Das war geradezu ein Klacks im Vergleich zu den 6 Wochen beim ersten Mal. ;-)
Trotz Physiotherapie (schon vor der ersten OP begonnen und nur für die Gips-Phasen und Reisen von der Nordsee, wo ich lebe, zu den Ärzten in Bayern und NRW pausiert) und 10x Ergotherapie ab Mitte Februar 2017 wurden die Schmerzen aber nicht wirklich gut. Nach jeder OP habe ich per Stufenweiser Wiedereingliederung wieder versucht zu arbeiten, aber es klappte nicht. Am schlimmsten war das Schreiben per Hand. Das ging zwar von der Beweglichkeit, aber tat währenddessen und noch im Nachhinein weh. Im Privaten kam ich klar, man lernt sich ja zu helfen und um Hilfe zu bitten, aber was den Beruf angeht, bekam ich es ziemlich mit der Angst zu tun. Als es losging war ich 36 Jahre alt, nun 38 (also noch ca. 30 Jahre Berufsleben vor mir), mein Krankengeldbezug war absehbar bald vorbei und mein Chef wollte mich nicht in einer vierten Wiedereingliederung scheitern sehen. Ich beantragte also eine Reha, die wurde zunächst abgelehnt (wie auch schon ein GdB), aber nach einem Widerspruch meinerseits bekam ich dann die Bewilligung für Bad Bentheim, ab dem 1.8.2017. Am ersten Tag "wusste" die orthopädische Chefärztin schon, dass ich nach der Reha alles würde machen können und nicht mehr au sein würde! Nun ja, die Physiotherapeuten und Ergotherapeuten waren da fachlich kompetenter und haben mir sehr geholfen. Ich hatte zwar jeden Tag Schmerzen, aber ich lernte, die Hand trotzdem zu benutzen und die Beweglichkeit wurde auch besser. Ich bekam zum Glück auch 14 Tage Verlängerung. Im Nachhinein betrachtet, hätte ich die Reha viel eher machen sollen, dann wäre vermutlich die dritte OP nicht nötig gewesen.
Mit meinem Arbeitgeber besprach ich dann noch, dass ich eine Spracherkennungssoftware bekomme, um möglichst wenig per Hand schreiben zu müssen. Maus und Tastatur waren schon auf ergonomisch umgestellt. So war dann auch die 4. Wiedereingliederung endlich erfolgreich. Ich musste zwar noch nach Auslaufen des Krankengelds ALG 1 beantragen (das geht nämlich, wenn man ausgesteuert ist trotz bestehendem Arbeitsvertrag), aber nach ca. 19 Monaten au war ich ab 10.11.2017 offiziell wieder arbeitsfähig. Zum Glück mit ganz viel Resturlaub und alten Überstunden, um der Hand viele Pausen zu gönnen. Das Arbeitsamt lehnte übrigens nach ca. 12monatiger Bearbeitungszeit die sogenannten "Leistungen zur Teilhabe am Arbeitsleben" ab, das Versorgungsamt beschied meinen 2. GdB-Antrag mit nur 10 (und das eher wegen ein paar Begleiterkrankungen als wegen der Hand). Soviel zu diesem sozialmedizinischen Exkurs.
Mitte Dezember 2017 Routine-MRT-Kontrolle: Lunatum stabil schlecht, neu dazu deutliche STT-Arthrose (ich vermute durch die temporäre STT-Transfixation, die Drähte wurden nämlich mehrfach rein- und rausgeschoben bis sie endlich saßen) und eine mäßige Rhizarthrose (auf der anderen Seite habe ich auch eine, da sehe ich keinen Zusammenhang mit der LM). Weil ich nicht wieder ganz nach Neustadt fahren wollte, bin ich zu einem anderen Handchirurgen (Dr. M.N. in L.) gegangen, von dem mir Mitpatienten (mit anderen Diagnosen) in der Reha erzählt hatten. Er überlegte, einen Spacer an die Stelle des Lunatum zu setzen und eine STT-Arthrodese zu machen, wenn es weiter fortschreite, nach 6 Monaten sollte ich ein Röntgen machen lassen. Als ich einen Bericht anforderte, stand dann darin aber MRT-Kontrolle nach 6 Monaten, ggf. wolle man einen gefäßgestielten Knochenspan aus dem Radius einsetzen oder die o.g. OP. Interessant, das aus dem Brief zu erfahren! Ich machte also MRT- und Wiedervorstellungstermin bei ihm nach 6 Monaten aus.
Anfang Juni 2018 war das MRT, dort zeigte sich eine Höhenminderung des Lunatum. Es war also soweit für OP Nr. 4?! Ich fuhr wieder zum Handchirurgen, seine Oberärztin war anstelle von ihm da und sagte, es müsse nun operiert werden. Ich fragte, ob man es nicht noch verschieben könne (bis ich wieder Anspruch auf Krankengeld hätte und mein Arbeitgeber eine Vertretung für mich). Sie riet dringend davon ab, also bekam ich einen OP-Termin 3 Wochen später. 2 Tage vor dem Termin wurde mir zugetragen, dass dieser Handchirurg fast 40 Klagen anhängig hätte, da habe ich meinen Termin lieber doch abgesagt und mir wieder einen vorstationären Termin in Bad Neustadt geholt (5 Wochen später war der erste frei), da dies ja die Klinik war, die mir zwei Jahre zuvor besonders empfohlen worden war und mir die Lust auf Experimente vergangen war.
Dort war nun am 14.8.18 der vorstationäre Termin. Dr. Kalb wurde wieder hinzugezogen. Ich wurde zum Verlauf und meinen Beschwerden befragt und untersucht. Mit der Beweglichkeit waren sie wie ich sehr zufrieden, aber dass schon so geringe Belastungen wie schreiben und Becher halten weh taten, gefiel Ihnen natürlich nicht. Ich sagte, dass ich nicht eher wiedergekommen wäre, da ich den damals als nächstes vorgeschlagenen Schritt der STT-Teilarthrodese nicht gewollt hätte, da mir die temporäre STT-Transfixation schon nicht geholfen hätte und ich während der 6 Monate mit Drähten mehr Beschwerden hatte als nach dem Ziehen. Dr. Kalb sagte, er sei da nicht dogmatisch, nur weil er das damals als nächsten Schritt genannt hätte, müsse dies jetzt nicht sein. Ein CT sowie aktuelle Röntgenbilder wurden gemacht. Die Verschlechterung sei minimal, ich sei immer noch im Stadium 3a. Allerdings waren alle üblichen Behandlungsmethoden für dieses Stadium schon ausgeschöpft. 3 Optionen standen mir also nun zur Wahl: 1. Revaskularisierung mit Knorpel-Knochen-Transplantat aus dem Knie. Würde seit 2006 gemacht, Langzeitfolgen fürs Knie also nicht bekannt, meist unproblematisch. Könne insgesamt gut funktionieren oder desaströs enden. Könne man vorher nicht wissen. 2. STT-Arthrodese, mit Spongiosa aus dem Radius verbunden und zwei K-Drähten fixiert. Oder 3. PRC. Wobei bei der Form meines Capitatums nicht klar sei, ob das nicht nach einer Weile Probleme machen würde durch eine falsche Stellung der Gelenkflächen aufeinander.
Dr. Kalb hatte (scheinbar?) keinen wirklichen Favoriten und überließ mir die Wahl. Ich wählte Nr. 2, also das, was ich vorher nicht wollte, aber was mir nach allem Abwägen als Chance erschien. Die OP würde in einer Plexusanästhesie gemacht, 3 Nächte stationär, 6 Wochen Gips. Die Drähte könnten wie auch meine alte Platte am Radius drinbleiben. Falls die OP in seltensten Fällen nicht gut funktioniere, würde man es bald merken. Was mich besonders erleichterte, war, dass er sagte, die OP müsse solange ich mit den Schmerzen noch zurechtkomme und nichts Unvorhergesehenes passiere, nicht zwangsläufig zeitnah stattfinden und ich könne bis April (neuer Krankengeldanspruch) warten. Selbst wenn es etwas weiter fortschreite, könne man den Eingriff immer noch durchführen. Nun habe ich also 8 Monate Zeit, mich darauf einzustellen, dass meine inzwischen wieder fast normale Beweglichkeit nie wieder die alte sein wird.
