Spongiosaplastik aus Beckenkamm + Sehneninterposition + OP Graner 2 = Teilversteifung/Teilarthrodese
Monika´s Krankheisverlauf
Da mir diese Seite gehört, möchte auch ich euch meinen Krankheitsverlauf nicht vorenthalten:
Ich selbst habe die Lunatummalazie. Mittlerweile hab ich mich mit den Folgen sehr gut abgefunden und kann auch soweit beinahe wieder Alles machen, was mir Spaß macht. Aber bis dahin war ein langer und beschwerlicher Weg. Ich möchte mit meinem Krankheitsverlauf KEIN Mitleid erregen - ganz im Gegenteil! Ich möchte anderen helfen, die die Diagnose "Lunatummalazie" erst vor kurzem bekommen haben, ich möchte darüber aufklären, damit all Die, die Beschwerden mit dem Handgelenk haben und ständig mit Sehnenscheidenentzündung abgespeist werden, obwohl sie ggf. auch ein erkranktes Mondbein haben Hilfe bekommen und Hilfe in Anspruch nehmen können und ich möchte auch all Die aufklären, die sobald sie hören, ein Knochen zersetzt sich, denken, es handelt sich um Krebs, Leukämie oder ähnliches: DAS IST i. d. R. NICHT SO!
Vorgeschichte bis zur Diagnose Lunatummalazie
Ich hatte die ersten Beschwerden im Bereich des Handgelekes bereits einige Zeit früher - Befund: "Sehnenscheidenentzündung" - das war zu Beginn der Lehre. Diese Beschwerden waren aber relativ schnell wieder vorbei und daher kann ich nicht sagen, ob zu dem Zeitpunkt die Lunatummalazie bereits begonnen hat. Ich habe derzeit (im Alter von 18 beinahe 19 Jahren) eine Lehre als Maler- und Lackiererin ausgeübt. Als ich eines Tages auf einer Baustelle plötzlich Schmerzen bekam, sobald ich auch nur einen Schwamm auswrang. Auf Grund der damaligen Situation, dass der Betrieb sehr viel Arbeit hatte und nur noch 3 Tage bis zum verlängerten Osterwochenende bevorstanden arbeitete ich dennoch weiter. Die Schmerzen verstärkten sich von Tag zu Tag und als ich am letzten Arbeitstag nach Hause kam, war ein Arztbesuch von Nöten - das Handgelenk war stark angeschwollen, jede Bewegung rief einen Schmerz hervor, als ob mir jemand im Sekundentakt einen Nagel nach dem Anderen durch das Handgelenk hämmerte.
Beim Arzt angekommen - und nach ca. einer Stunde Wartezeit - sah sich dieser die Bescherung mit einem nahezu schadenfrohen Grinsen an und meinte, er habe mich ja damals schon einmal vorgewarnt, mit einer Sehnenscheidenentzündung sei nicht zu Spaßen. Daraufhin verband er das Handgelenk und wünschte mir einen "sehr schönen und geruhsamen Abend" gab mir ein Rezpt für Salbe mit und fügte noch hinzu, ich hätte sicher meine Freude daran.
Meine Freude hatte ich sicherlich. Die Schmerzmittel, die ebenfalls zur Verfügung standen schlugen nicht mehr an, die Hand schmerzte im Ruhezustand genauso wie bei jeglicher Bewegung bestialisch und ich kann nur sagen: "Soetwas würde ich nicht einmal meinem ärgsten Feind wünschen!".
Nach ca. ein einhalb Wochen waren die Schmerzen bis auf die Tatsache des Bewegens weitest gehend abgeklungen und ich sollte einen Versuch zu arbeiten machen - dieser berief sich immerhin auf 1 Stunde, nach der ich mich wieder beim Arzt einfinden durfte.
So ging es ca. 2 Monate weiter. Auf Grund der andauernden Schmerzen und der Tatsache, das nichts half, wechselte ich zu einem Sportmediziner und Chirurgen. Der machte eine Röntgenaufnahme und konnte nichts feststellen. Anschließend versuchte er es auf Gicht zu schieben und gab mir den Rat: "Wenn Sie keine Lust auf Ihren Beruf haben, wechseln Sie ihn und spielen nicht die Kranke!" Daraufhin wechselte ich erneut - diesesmal zu meinem eigentlichen Hausarzt. Glücklicherweise schickte dieser mich, nach einigen Versuchen, die er mit "Stromschwingungen" (Ich weiß nicht, wie man das nennt) versucht hatte zu Dr. Gerwin, einem Sportmediziner und Orthopäden in Lingen, der sofort die Einschränkung der Bewegung im rechten Handgelenk erkannte und ein MRT durchführen ließ.
Lunatummalazie - Spongiosaplastik aus dem Beckenkamm
Das MRT brachte den Befund "Lunatummalazie" und die überweisung zum Handchirurgen Dr. Jung. Die Lunatummalazie war bereits im II. Stadium. Somit wurde eine Eigenknochenmarkstransplantation durchgeführt. Das hieß ca. eine Woche Krankenhausaufenthalt. Ich kann beruhigen, die Schmerzen sind nicht groß und auch die Einschränkungen durch die OP halten sich in Grenzen. Nach der OP musste ca. 6 Wochen eine Gipsschiene getragen werden. Ich gewöhnte mich schnell daran, damit umzugehen.
Nachdem die Gipsschiene jedoch nicht mehr notwendig war, gingen die Beschwerden los. Mit Hilfe von Krankengymnastik musste die Hand wieder neu lernen, Bewegungsabläufe durchzuführen. Das war auch nicht sehr schmerzhaft. Jedoch ist man im Alltag eingeschränkt. Man bekommt Flaschen schwer auf, denkt oftmals nicht daran, das man operiert ist und bleibt unbewusst an einer Türklinke, einer Heizung oder sonstigen Dingen hängen, die eine apruppte Bewegung mit sich ziehen und natürlich für eine kurze Zeit Schmerzen. Es ist deprimierend, hält jedoch nur für eine gewisse Zeit an, in der das Handgelenk weiter abheilt und nach ca. 4 Monaten ist das vergessen.
Ich hatte jedoch nach einem halben Jahr erneut Beschwerden. Meine Lehre konnte ich auf Grund der Lunatummalazie nicht weiter ausüben. Und nach dieser Zeit begannen die Schmerzen im Handgelenk erneut mit jeder Bewegung. Wie sich bei einer weiteren Röntgenaufnahme feststellen ließ, hatte das Mondbein sich nicht - wie eigentlich geplant war - regeneriert und aufgebaut, sondern weiter zersetzt. Somit musste eine erneute Operation durchgeführt werden.
Sehneninterposition
In dieser Operation wurde das deformierte Mondbein komplett entfernt und durch ein Sehnenknäuel ersetzt. Ich hatte während der OP eine Teilnarkose, die nur auf den Arm bezogen war. Die OP war recht lustig: Zunächst wollte die Narkose des rechten Armes nicht anschlagen und es wurden 3 Versuche gebraucht. Anschließend wurde ich in den OP gebracht. Ich merkte noch jede Berührung der Hand, was ich dem Anästhesisten auch auf seine Frage, wie es mir gehe, sagte. Seine Antwort schlug ein: "Ach, das macht nichts, geschnitten ist eh schon und die OP ist ebenfalls im vollen Gange!" Ich merkte aber nichts und sehen konnte ich auch nichts :-/ aber ich lernte sogleich die Vor- und Nachteile einer Telefonanlage samt Internetanschluss kennen und wußte anschließend auch direkt das DSL offenbar sehr gut war.. Darüber unterhielten sich die Ärzte und das restliche Personal ;-)
Nach der OP war wiederum 1 Woche Krankenhausaufenthalt angesagt. Anschließend erneut 6 Wochen Gipsschiene und danach dann auch wieder Krankengymnastik und die üblichen Beschwerden nach einer frischen OP am Handgelenk.
Mittlerweile ist die 2. OP ca. 4 1/2 Jahre her. Ich bin jetzt fast 24 Jahre und kann mein Handgelenk wieder (fast) einwandfrei nutzen. Bis auf Kartoffelschälen und ähnliche Arbeiten, sowie Handwerkliches ist mein Handgelenk belastbar. Und ich bin froh, dass ich an die unter ADRESSEN genannten Ärzte geraten bin. Auf Dauer wird eine Stilllegung des Handgelenkes wahrscheinlich unumgänglich sein - es sei denn, in der Forschung ergeben sich zwischenzeitlich noch weitere Mittel und Wege.
Ich möchte an dieser Stelle allen Betroffenen Mut machen. Denn wie in meinem Krankheitsverlauf zu sehen ist, es gibt die Möglichkeit damit zu leben, sein Leben nicht komplett umzustellen. Ich habe in der Zwischenzeit sogar Fließbandarbeit ohne Probleme für einen gewissen Zeitraum ausgeübt. Aber man muss sich eines vor Augen halten: Man darf die Hand WEDER üBERBELASTEN, NOCH UNTERBELASTEN! Die Entscheidung, was man darf und was nicht, hat man selbst zu treffen. Man sollte NICHT übermütig werden, aber auch nicht zu zimperlich und vorsichtig mit seinem Handgelenk umgehen! Und erst Recht gilt eines: NIEMALS DEN KOPF IN DEN SAND STECKEN! (Ich musste das auch lernen - aber es geht!!!)
In diesem Sinne: Gute Besserung und Vorsichtig Befunde und Diagnosen der Ärzte begutachten - lieber 3 - 4 Ärzte befragen, als einen ;-)
Eure Monika
OP nach Graner 1 3/4 also 2 - Fusion oder auch: Die Rettung
Die obigen Zeilen entstanden Mitte 2004. Derweil ist Juni 2005 und die LM "schlug erneut zu". Nachdem ich soweit gut zurecht gekommen war, die Bewegung und Belastung der rechten Hand sich beinahe wieder bis zu einem "Normalzustand" entwickelt hatte, begann die Hand neuerlich zu schmerzen. Erst nur sporadisch, dann wurde es doch immer schlimmer.
Ich wollte es nicht wirklich wahrhaben und so war es anfangs leicht, die Schmerzen auf Wetterfühligkeit zu schieben.
Aus lauter Frust darüber, dass ich trotz meiner schulischen Ausbildung zur kaufmännischen Assistentin für Wirtschaftsinformatik keinen Arbeitsplatz fand, hatte ich mich kurzentschlossen im Bereich Webdesign selbständig gemacht. Zusätzlich arbeitete ich in einer Pizzaria als Auslieferungsfahrerin, die zusätzlich Bestellannahme sowie sämtliche Tätigkeiten in der Küche erledigte. Im Juni oder Juli 2004, während ich in der Küche der Pizzaria Vorbereitungen traf, rutschte ich dummerweise mit dem Messer ab und traf ausgerechnet das rechte Handgelenk. (Tollpatsch lass grüßen...) Die Wunde sah im ersten Moment schlimmer aus, als sie im Endeffekt war, aber - immerhin war es die rechte Hand, die mir wahrlich ja schon genug "ärger" eingebrockt hat... - ich ging vorsorglich zum Arzt. Im Nachhinein betrachtet - bei dem "kleinen Kratzer" - irgendwie lächerlich. Dennoch kann die Möglichkeit eines Zusammenhangs mit den späteren Schmerzen bestehen... Immerhin war es eine recht ruckartige Angelegenheit. Und eine Narbe hat dies zum Glück nicht hinterlassen. Ich kann jedoch nicht mehr sicher sagen, wann genau die sporadischen Schmerzen begannen, nicht allzulang nach dem Vorfall jedenfalls.
Ende Oktober machte ich mir dann doch langsam mehr Gedanken darum. Mir war zu Ohren gekommen, dass mein damaliger Handchirurg nicht mehr vor Ort sei. So ganz glauben konnte und wollte ich das allerdings nicht. Ich versuchte mehrfach mir telefonisch einen Termin zu holen. Als das nicht klappte, wollte ich eine überweisung meines Hausarztes und mir dann direkt vor Ort einen Termin dort holen. Da bestätigte sich dann aber durch meinen Hausarzt, dass der Handchirurg wirklich nicht mehr vor Ort war. Das fand ich garnicht nett... Durch eine Freundin, die auch Probleme mit ihrem Handgelenk hat, erfuhr ich dann, dass es in Meppen einen neuen Handchirurgen gab. Und da sie gute Erfahrungen gemacht hatte, besorgte ich mir dort einen Termin. Einziger Nachteil: Handchirurgie innerhalb eines Krankenhauses erfordert keine einfache überweisung vom Hausarzt, sondern eine überweisung von einem Orthopäden oder Chirurgen, der eine eigene Praxis hat. Zudem hieß das, ehemalige Ärzte um die Unterlagen bitten, die es bis dahin zur Hand und den vorigen OPs gab. U. a. auch die alten Röntgenbilder. Nach der Lunatumresektion und Sehneninterposition im Jahr 2000 war nur ein einziges Röntgenbild gemacht worden. Und genau das war auch noch verschwunden...
Bevor ich dann beim Handchirurgen war, hatte ich mir immer wieder gesagt: "Sollte wirklich eine erneute OP nötig sein, dann bloß keine Radiusverkürzung." Das war ein Gedanke, den ich garnicht mochte... Beim Handchirurgen angekommen, war zunächst ein anderer Arzt da, der sich die Unterlagen ansah und mich ersteinmal zum Röntgen schickte. Als ich zurück war, wurde mir dann etwas mulmig, als auf einmal gleich 2 Ärzte mit ernsten Gesichtern vor mir standen. Und als dann auch noch im Allgemeinen das Wort "Radiusverkürzung" fiel, wär ich am liebsten gleich auf und davon. Ich bekam dann jedoch erst eine überweisung zum MRT, das weiteren Aufschluss geben sollte. Nach dem MRT kam der "Radiologe", der den Befund fertig machte, erst nocheinmal zu mir und fragte etwas irritiert, ob ich bereits am Handgelenk operiert wäre. *schmunzel* Der muss sich wohl ziemlich erschrocken haben, als er kein Mondbein entdecken konnte...
Garnicht mehr zum Schmunzeln war mir, als dieser mir dann das vorläufige Ergebnis des MRTs bekannt gab: Auch das Sehnenknäuel war bereits fast vollständig "aufgelöst" und insgesamt war die Architektur der Hand nicht mehr so, wie sie sein sollte. Das hieß, mir wurde in dem Moment schon klar, dass ich mich schon einmal mit dem Gedanken "anfreunden" musste, das mir noch eine weitere OP bevorstehen würde. Und während ich mich vor dem MRT noch auf Klarheit wegen der Schmerzen "gefreut" hatte, hatte ich es eigentlich garnicht mehr eilig, wieder zum Handchirurgen zu gehen - der Termin stand jedoch, also musste ich dann ja doch.
Vorgeschlagen wurde mir eine OP nach Graner, bei der das Kopfbein in 2 Teile geteilt werden, eines davon an Stelle des Mondbeins gesetzt werden sollte und mit Spongiosa aus dem Beckenkamm sollte der andere Teil des Kopfbeines dann wiederum verlängert werden. Zusätzlich blieb die Option, jenachdem wie die Handwurzelknochen, Sehnen usw. in der Zwischenzeit aussahen, das neugeformte Mondbein, Kopfbein und das bereits kippende Kahnbein zu fusionieren (zusammenzubringen, also Teilversteifung).
Die Aufklärung war umfangreich und auch zu anderen OP-Methoden wie PRC wurde ich aufgeklärt und die Vor- und Nachteile dieser Methoden in meinem Fall durchgesprochen. Auf die Frage, ob eine solche OP dort bereits durchgeführt wurde, sagte man mir auch ehrlich, dass das nicht der Fall wäre. Da sich die Ärzte jedoch die OP durchaus zutrauten und ich durch das Vorgespräch entsprechend auch Vertrauen hatte - und nach wie vor habe -, stimmte ich zu.
Am 27. Januar 2005 wurde die OP dann vom Chefarzt selbst durchgeführt. Vor der Vollnarkose schaute dieser, wie sein assistierender Oberarzt, nochmal vorbei und erkundigte sich nach meinem Befinden. Als ich nach der OP wieder auf dem Zimmer war und noch leicht "beduselt", kam der Chefarzt, um mir das Ergebnis der OP mitzuteilen. Das Kopfbein war doch bereits im größeren Maße angegriffen, als es vorher laut Röntgenbild und MRT den Anschein hatte. Die Teilversteifung war ohne Komplikationen durchgeführt worden. Ungewohnt war für mich, dass die Gipsschiene und auch die Narbe auf der Handaußenseite waren. Die vorigen OPs waren von der Unterseite durchgeführt worden, was bei dieser OP nicht möglich war. Die Schmerzen waren jedoch geringer, als nach den vorigen OPs. Insgesamt war ich (samt OP- und Entlassungstag) 6 Tage im Krankenhaus. Ich durfte trotz Narbe am Beckenkamm noch während der Zeit im Krankenhaus schon wieder duschen - mit Wundpflaster am Becken und Mülltüte um den Arm -, was ich von der ersten OP 1999 garnicht kannte (Damals hieß es nämlich noch "Katzenwäsche am Waschbecken"). Das Pflegepersonal war ebenfalls sehr nett.
Mit 2 Briefen - einen für den Hausarzt, einen für den außerhalb des Krankenhaus praktizierenden Chirurgen - wurde ich entlassen. Samt Brief ging s dann zum Hausarzt, der später auch die Fäden zog. Ich hatte damit gerechnet, dass der mich weiterüberweist... Kurzum die eigentliche Nachsorge findet noch immer regelmäßig - und auf meinen Wunsch - im Krankenhaus beim operierenden Handchirurgen statt. Auch wenn ich meinem Chirurgen außerhalb sehr viel Vertrauen entgegenbringe, wäre ich nicht gewillt gewesen, meine Hand in seiner Obhut nachbehandeln zu lassen. Ich denke mir einfach, dass nicht zu viele unterschiedliche Ärzte an meiner Hand "rumhantieren" sollen. Es heißt ja auch "viele Köche verderben den Brei" und wenns um meine Hand geht bin ich derweil empfindlich und eigen - wenns sein muss auch aufmüpfig.
Die Kirschnerdrähte wurden nach 6 Wochen ambulant entfernt. Danach gab es dann auch keine Gipsschiene mehr. Etwas, was ich dem Krankenhaus hoch anrechne ist: Am Abend der ambulanten Metallentfernung rief die Nachtschwester bei mir zu Hause an, um sich nach meinem Befinden zu erkundigen und wies auch nochmal daraufhin, dass - falls irgendetwas sein sollte - ich jederzeit dort anrufen oder vorbeikommen könne.
Es wurden regelmäßige Röntgenkontrollen gemacht, die bisweilen belegen, dass alles gut verheilt. Krankengymnastik bekam ich nach 6 Wochen und Ergotherapie kam später auch hinzu. Seit 5. Juni 2005 bin ich nun wieder "gesundgeschrieben". Leichte Schmerzen - vor allem nach Belastung - sind nach wie vor vorhanden. Die Bewegungseinschränkung ist im Vergleich zu vorher schon recht groß, aber das sind alles Sachen, an die ich mich gewöhnen kann und die mir tausend mal lieber sind, als ein komplett versteiftes Handgelenk.
Fazit: Die Entscheidung, die OP durchgeführt haben zu lassen bereue ich in keinem Fall. Natürlich wäre ein besseres Ergebnis klasse gewesen. Ich hatte auch von vornherein den Standpunkt: "schlimmer werden kann s nicht, die Chance das es besser wird ist jedoch gegeben". Auch die Entscheidung, mir keine weitere Meinung eingeholt und den Ärzte n mein Vertrauen geschenkt zu haben bereue ich nicht. Ich kann nur hoffen, falls in ferner Zukunft wieder etwas sein sollte, dass die Ärzte noch vor Ort sind.
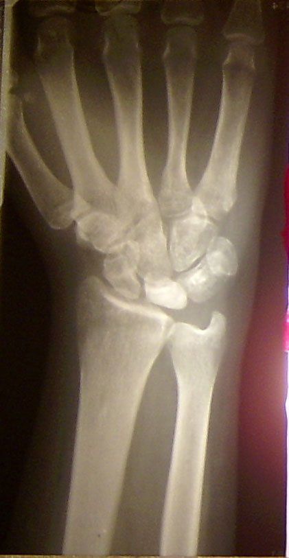
Röntgenbild nach der Teilversteifung/Fusion...:
Diese Hürde ist also wieder geschafft und auch wenn ich zwischenzeitlich gern mal den Kopf im Sand versteckt hatte, bin ich nun wieder optimistisch. Ich bin jung - auch wenn ich dieses Jahr noch ne "alte Schachtel", also 25 werde. Klar wäre es mir lieber, ich hätte eine vollständig gesunde Hand und könnte alles machen. Vielleicht müsste ich mir Vorwürfe machen, dass ich in den vergangenen 4 1/2 Jahren ohne Schmerzen und mit minimalen Einschränkungen zuwenig auf die Hand geachtet und somit zuviel damit gemacht habe. Aber warum? Ich lebe jetzt, mit dieser Situation und ob ich mir nun Gedanken darüber mache, was gewesen wäre wenn, davon ist die jetzige Situation dennoch wie sie ist... Teilweise nervt mich die Hand, teilweise nervt mich die "Achterbahnfahrt" der vergangenen Jahre und teilweise bin ich auch etwas demotiviert. Ich habe in der Praxis für Krankengymnastik einen Spruch gelesen, der mir immer wieder in den Sinn kommt: "Es ist nicht wichtig, woher der Wind weht, es kommt nur darauf an, wie wir die Segel setzen"
In diesem Sinne drückt mir die Daumen, dass ich angesichts der wirtschaftlichen Lage nen guten Job finde und haltet selbst die Ohren steif und macht das Beste aus eurer Situation. Allen weiterhin gute Besserung.
Liebe Grüße
Monika
P.S.: Jetzt, im Jahr 2012, bin ich derweil übrigens ü30 und seit über 7 Jahren schmerzfrei! Einschränkungen? Joah, bestimmt, aber die merk ich nur, wenn ich Liegestütz oder ähnliches mit der Hand versuchen würde. Man hat sich vollends daran gewöhnt, nur die, die keine Ahnung haben, gucken vielleicht mal etwas blöd.. wobei, eigentlich fällt mir das gar nicht mehr auf :-) - Und Ihr habt supi die Daumen gedrückt, nen guten Job hab ich auch ;-)







